EHA中国之声丨曹阳/王珏教授团队揭示I型干扰素抑制CAR-T细胞功能的新机制,锁定CEACAM1为潜在干预靶点

血液时讯 发表时间:2025/8/11 17:30:47

汇聚全球精英,引领血液新潮。第30届欧洲血液学会年会(EHA 2025)于6月12日至15日在意大利·米兰盛大召开。在本次大会上,华中科技大学同济医学院附属同济医院曹阳教授团队的一项研究入选口头报告,围绕CAR-T细胞治疗抵抗的机制展开系统探索,提出了I型干扰素(IFN-I)通过干扰免疫突触组装削弱CAR-T细胞杀伤效应的全新机制,首次将CEACAM1明确为关键的功能抑制因子。这一发现不仅为CAR-T疗法的个体差异提供了分子依据,也为优化CAR-T产品和提升治疗应答率提供了新的干预思路。本文将对该研究的主要内容与临床启示进行全景式呈现。
 

研究简介

 

摘要号:S277

标题:TYPE I INTERFERON IMPAIRS CAR-T CELL FUNCTION BY DISRUPTING IMMUNE SYNAPSE ASSEMBLY

中文标题:I型干扰素通过破坏免疫突触组装削弱CAR-T细胞功能

第一作者:Meijuan Huang

 

研究背景
 

尽管CAR-T细胞治疗在B细胞恶性肿瘤中取得显著成功,但仍有相当比例的患者出现治疗失败与复发,其原因常与CAR-T细胞活性不佳相关。为探究CAR-T疗效的分子决定因素,研究团队对接受CAR19/22 T细胞鸡尾酒疗法的B-ALL患者输注前的CAR-T细胞产品进行了单细胞转录组测序。分析发现,在对CAR-T疗法无应答的患者中,I型干扰素(IFN-I)信号通路显著上调,提示其可能在介导治疗抵抗中发挥作用。
 

研究目的
 

为验证单细胞数据发现,本文进一步探讨IFN-I信号对CAR-T细胞功能的调控机制,旨在识别提高CAR-T疗效的潜在干预策略。

 

研究方法
 

将CAR-T细胞经IFNβ或稀释液预处理后,与Nalm6细胞共培养,评估其细胞毒性、脱颗粒、细胞因子释放、增殖及分化能力。利用共聚焦显微镜观察免疫突触(IS)组装情况。在NCG小鼠中建立Nalm6模型,输注经IFNβ处理的CAR-T细胞以评估其抗肿瘤活性和生存率。通过整体RNA测序分析IFNβ刺激后的基因表达特征。为进一步探索IFN-I调控基因CEACAM1在CAR-T功能中的作用,采用CRISPR/Cas9技术敲除CEACAM1,并在体内外模型中评价其功能。

 

研究结果

 

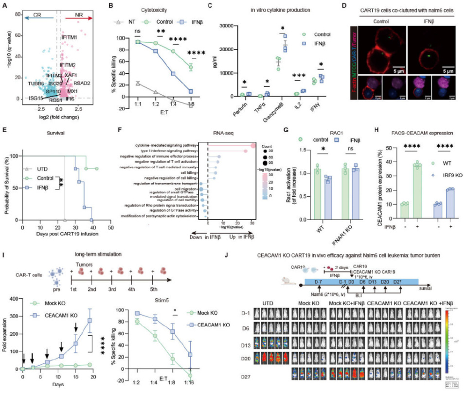
单细胞RNA测序显示,CAR-T细胞产品中IFN-I信号上调与治疗抵抗相关(图A)。体外实验发现,IFN-I暴露明显降低CAR-T细胞毒性,并升高效应因子分泌,但对脱颗粒、增殖及分化无显著影响(图B、C),提示其可能通过破坏免疫突触组装发挥抑制作用。共聚焦成像显示,IFNβ处理后F-肌动蛋白聚合减少,中心体与溶酶体极化受损(图D)。体内实验亦证实IFNβ处理的CAR-T细胞清除白血病能力下降,生存率降低(图E)。转录组分析发现,细胞杀伤负调控相关基因(如CEACAM1)表达升高,而调控Rho蛋白信号的基因下调,与IS功能障碍一致(图F)。机制上,IFN-I通过IFNAR1-IRF9轴上调共抑制受体CEACAM1,进而抑制Rho-GTP酶信号通路——该通路是T细胞突触F-肌动蛋白动态调节的关键(图G、H)。敲除CEACAM1的CAR-T细胞在应激条件下仍具良好增殖与持续效应功能,且在Nalm6异种移植模型中表现出更优扩增与肿瘤控制能力。值得注意的是,CEACAM1敲除在体内外均部分逆转了IFN-I诱导的细胞毒性下降,提示其可作为增强CAR-T效能的潜在策略。

 

研究结论

 

本研究明确了IFN-I信号在CAR-T治疗失败中的关键作用,并揭示其通过破坏免疫突触组装而导致CAR-T功能障碍的分子机制。同时,CEACAM1的敲除有望成为改善CAR-T疗效的有效干预手段。

研究者说

本项研究通过单细胞转录组分析揭示了I型干扰素(IFN-I)信号在CAR-T细胞疗效失败中的潜在机制,具有重要的理论意义和临床转化价值。研究团队发现,CAR-T细胞在接受IFNβ刺激后,其免疫突触组装能力受损,表现为F-肌动蛋白聚合减少、中心体极化障碍,导致细胞毒性下降,进而影响抗白血病疗效。这一发现提示,CAR-T功能障碍不仅与细胞本身的活性有关,更与其与肿瘤细胞间“对接”的结构基础密切相关。

尤其值得关注的是,该研究进一步锁定了IFN-I诱导的共抑制分子CEACAM1作为关键介导者,且其敲除可部分逆转CAR-T功能受损状态。这一结果为优化CAR-T细胞产品质量、提高疗效提供了新的靶点,也为正在探索的“下一代CAR-T设计”提供了切实可行的方向。总体而言,该研究深入解码了治疗抵抗的关键环节,有望推动CAR-T疗法从“个体反应”走向“机制精控”的新阶段。

 

专家简介

 

曹阳 教授

华中科技大学同济医学院附属同济医院

华中科技大学同济医学院附属同济医院血液科副教授、主任医师

中华医学会血液学分会白血病淋巴瘤学组组员

中国抗癌协会血液专委会T细胞移植和细胞免疫治疗学组秘书

湖北省抗癌协会血液肿瘤青委会副主任委员

湖北省抗癌协会T细胞移植和细胞免疫治疗学组秘书

主要从事造血干细胞移植和细胞免疫治疗的基础和临床工作。主持国家自然科学基金面上项目,青年基金,教育部重点学科新教师基金,参与科技部973、863支撑计划及国家自然科学基金重点项目等多项研究。在专业领域发表相关论文20余篇,其中以第一作者和通讯作者在国际SCI杂志包括JEM上发表论文数十篇

 

王珏

华中科技大学同济医学院附属同济医院

华中科技大学同济医学院附属同济医院血液科副教授、副主任医师

中国老年学和老年医学学会老年病学分会血液(湖北)专委会副主任委员;

中国老年医学学会智慧医疗技术与管理分会常委;

湖北省医学生物免疫学会细胞治疗专委会委员;

湖北省医学生物免疫学会淋巴瘤MDT专委会常务委员;

主持和参与多项国家自然科学基金;

以第一或通讯作者在Blood、STTT、Molecular Therapy、Journal of Controlled Release等杂志发表多篇SCI文章

版面编辑:张冉   责任编辑:崔沙沙
本内容仅供医学专业人士参考
相关搜索:  血液肿瘤

发表评论

提交评论
  • 相关推荐
  • 学术领域